张伊/杜晓军/邓秀玲教授团队揭示内皮细胞Nogo-B调控压力超负荷诱导的小鼠冠状动脉粥样硬化的作用与机制
内皮细胞功能障碍在动脉粥样硬化中起着关键作用,但其具体机制尚未被完全阐明。在高血压和高胆固醇血症等促动脉粥样硬化危险因素的影响下,可触发冠脉血管内皮细胞发生炎症反应。而过量的活性氧(ROS)产生可能是这些危险因素上调黏附分子促进动脉内皮炎症的重要机制,因此进一步探究参与冠心病内皮细胞功能障碍的病理信号通路以及关键调控分子具有重要意义。
Nogo-B是网状组织蛋白家族4(reticulon protein family 4,Rtn4,又名Nogo)的成员之一,主要在血管组织中表达(如内皮细胞和平滑肌细胞),参与血管重塑、组织损伤与修复、炎症过程及血压调控等病理生理过程。该课题组前期的研究表明,冠脉内皮细胞中的Nogo-B可被压力超负荷诱导高表达,且人的颈动脉粥样硬化斑块中存在Nogo-B高表达,提示Nogo-B与冠脉斑块的形成密切相关。
2023年10月21日,医学部基础医学院张伊/杜晓军/邓秀玲教授团队以《Nogo-B通过介导内皮细胞氧化应激和炎症促进压力超负荷诱导的小鼠冠状动脉粥样硬化》(Nogo-B mediates endothelial oxidative stress and inflammation to promote coronary atherosclerosis in pressure-overloaded mouse hearts)为题,将该研究成果发表在期刊《氧化还原生物学》(Redox biology,IF = 11.4)。揭示了内皮细胞Nogo-B通过稳定Mfn2介导内质网-线粒体互作,增加线粒体Ca2+摄取和ROS(reactive oxygen species)水平,激活p38-p65信号轴增强炎症反应以调控细胞黏附分子VCAM-1、ICAM-1的转录,从而促进冠状动脉粥样硬化的发生发展,为冠心病的防治提供了新的思路与治疗靶点。

研究团队发现TAC(transverse aortic constriction)手术后的ApoE-/-小鼠心脏冠状动脉内皮细胞中Nogo-B表达明显上调。随后研究者应用ApoE-/-小鼠,构建了DKO(ApoE-/--Nogo-A/B)小鼠和内皮细胞特异性Nogo-A/B(ApoE-/-/Nogo-A/BECKO)敲除小鼠。行横主动脉弓缩窄术(TAC)7周后发现,敲除Nogo-B明显减轻了TAC 诱导的冠状动脉动脉粥样硬斑块的大小及主动脉根部的斑块面积。

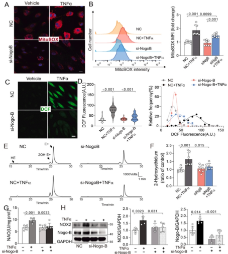
线粒体是细胞ROS产生的主要来源之一,它可以通过ROS致ROS释放(ROS induce ROS release),介导NADPH氧化酶(NOX)等其他来源ROS的生成。研究团队发现沉默内皮细胞中的Nogo-B可以抑制氧化应激反应,减少内皮细胞中的ROS含量。

综上,该研究揭示了在压力超负荷的ApoE-/-小鼠心脏中,Nogo-B是促进冠脉内皮功能障碍和冠状动脉粥样硬化发生发展的关键调控因子。该研究通过应用活细胞钙成像、免疫共沉淀、电镜等实验手段证实Nogo-B是线粒体相关内质网膜蛋白的重要成员之一,能够通过与线粒体蛋白Mfn2相互作用维持内质网-线粒体结构与功能,调控内皮细胞中线粒体Ca2+转移与线粒体ROS产生。研究有望以Nogo-B为靶点,为防治冠心病提供新的理论基础。
亮点总结
1. 动物体内压力超负荷、体外炎症因子刺激均可诱导内皮细胞Nogo-B持续上调。
2. 敲除内皮细胞Nogo-B能够改善内皮细胞功能,延缓压力超负荷诱导的冠状动脉粥样硬化斑块的形成。
3. Nogo-B通过稳定Mfn2介导内质网-线粒体互作,增加线粒体Ca2+摄取和ROS产生。
4. Nogo-B激活ROS-p38-p65信号轴,激活促动脉粥样硬化的黏附分子VCAM-1、ICAM-1的转录。
文章信息
医学部基础医学院病理与病理生理学专业博士生
张玉与西安交通大学第一附属医院博士后
李晶晶为该论文共同第一作者,
张伊副教授为通讯作者。该工作与西安交通大学第一附属医院谢文俊教授、西安交通大学基础医学院心血管研究所王一东教授、第四军医大学航医系张星副教授合作完成。该项研究获得国家自然科学基金、陕西省自然科学基金和陕西省博士后基金资助。
文章链接:https://www.ncbi.nlm.nih.gov/pmc/articles/PMC10633694/
彭康书院、仲英书院心理二级站联合举办“落叶知秋:把秋天留下”活动
“最美医生”刘永生先进事迹巡回宣讲会在西安交大医学部举行